
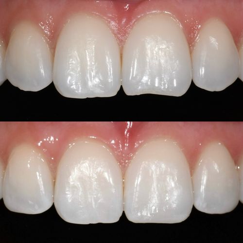
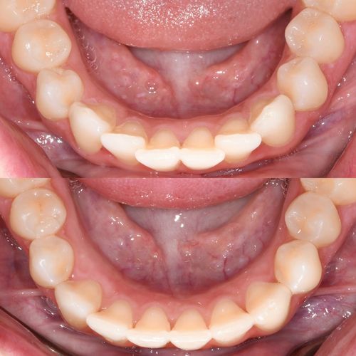
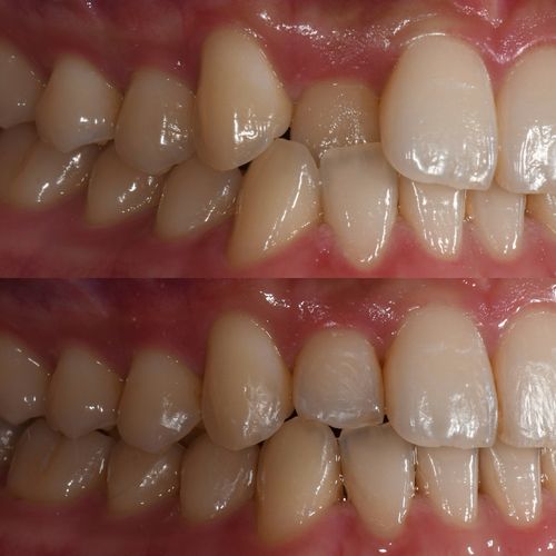
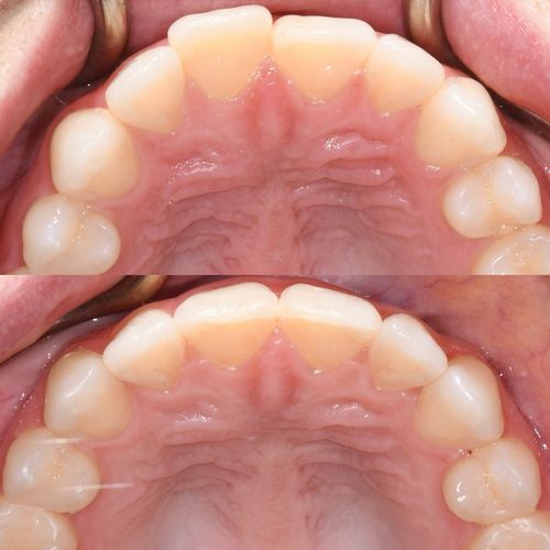
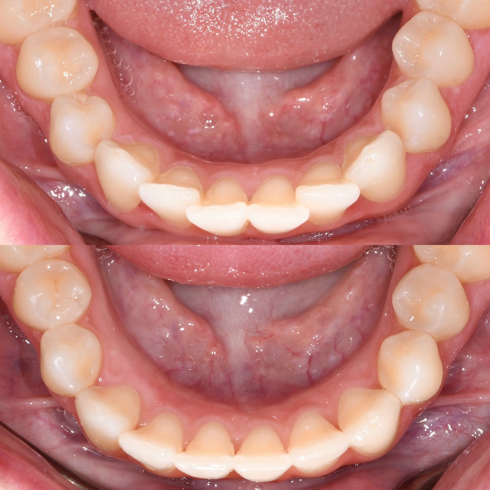
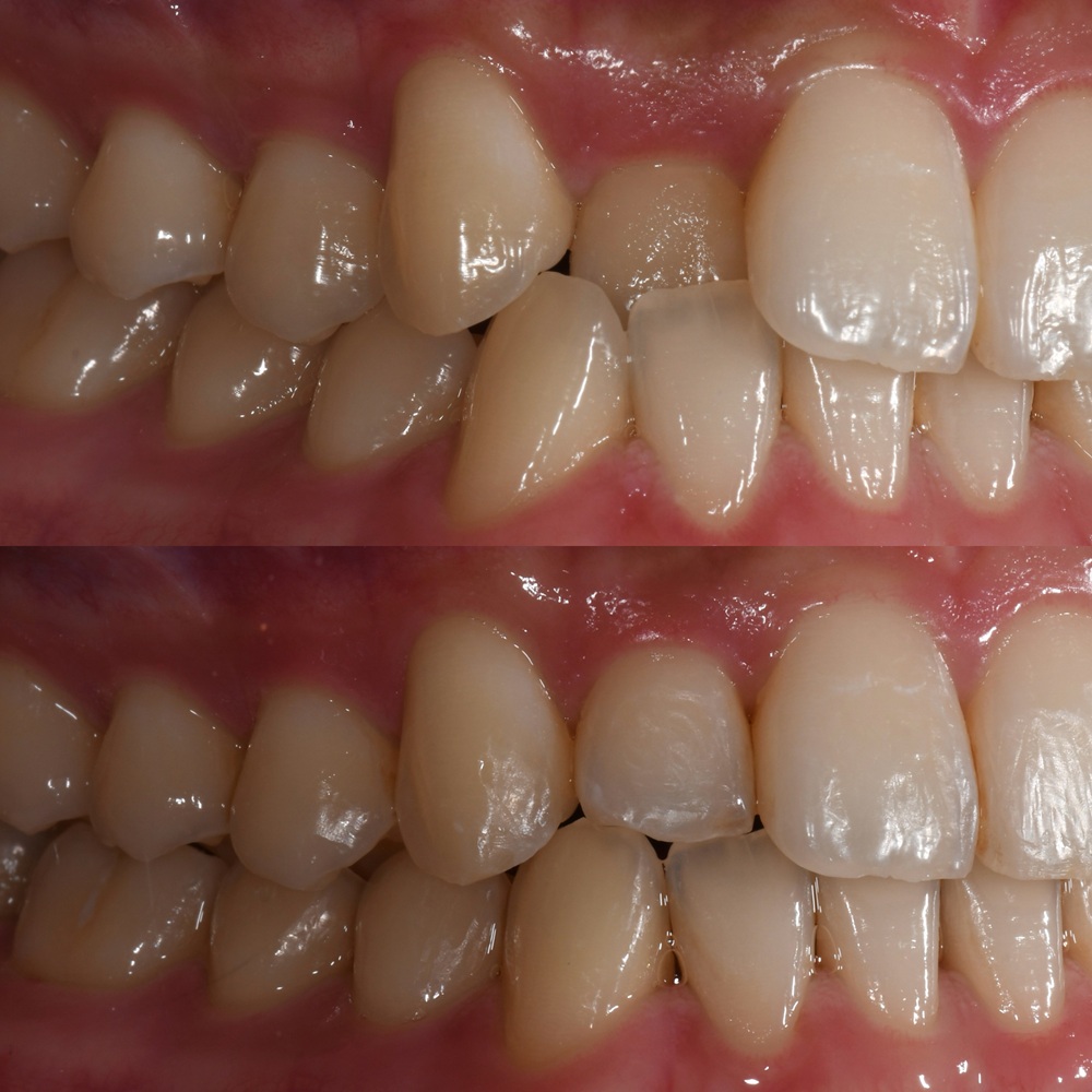
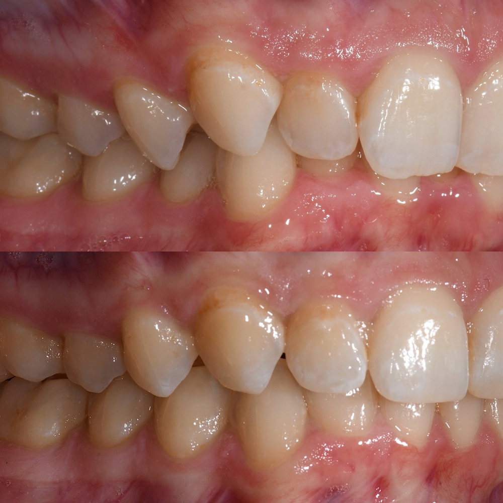
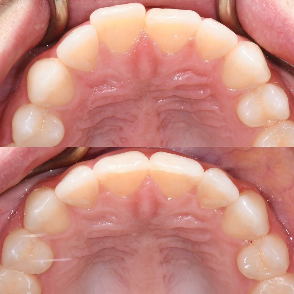
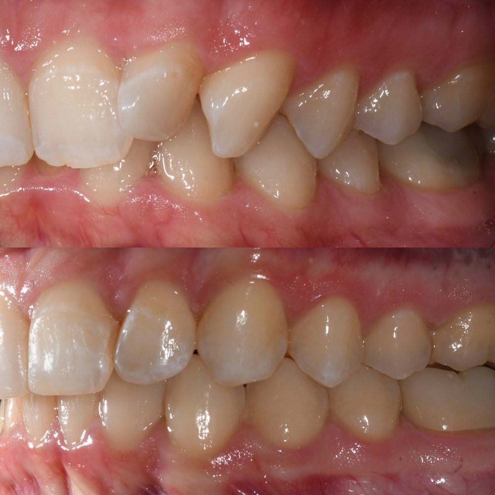
Is a missing tooth leaving a gap in your grin? Dental bridges can bridge the gap with an artificial tooth that aligns with the rest of your smile.
.webp)
Why should I get a dental bridge?

Losing a tooth can put a damper on your smile and self-confidence. But there’s no need to wait to fix your situation — a dental bridge can fortify the healthy teeth that surround your gap and can replace your missing tooth in just two visits. The bridge prevents your surrounding healthy teeth from shifting and reduces the risk of bone loss or bite problems. Plus, this appliance is permanently fixed into your surrounding teeth, which prevents it from moving around like dentures. You’re just one bridge away from getting your grin back.
What Makes Us Different
BEYOND AESTHETICS: PIONEERING TRIGGER POINT THERAPY
At Smile in Style, we go beyond traditional dental aesthetics to offer comprehensive care for your oral and facial health. What truly sets us apart is our expertise in trigger point injections - a niche service rarely found in dental practices. While many offices provide Botox and fillers for cosmetic purposes, we take it a step further by offering trigger point therapy as a therapeutic treatment. This advanced technique targets chronic pain and muscle tension, addressing issues like TMJ disorders, headaches, and facial pain that can significantly impact your quality of life. Our unique combination of Lidocaine, Botox, and PDO threads in these injections not only provides immediate relief but also promotes long-term healing. By integrating this therapeutic approach with our cosmetic and dental services, we offer a holistic solution for both your comfort and confidence. At Smile in Style, we're not just enhancing your smile - we're improving your overall well-being.
HOW TRIGGER POINT INJECTIONS WORK
Trigger Point Injections are used to soothe tense muscle fibers or commonly known as "knots." These knots are caused by acute or repetitive microtrauma, leading to stress on your muscles. They can often times lead to tension headaches. We use trigger point therapy at our office to relieve neck and shoulder knots, especially ones that are stubborn and cannot be improved by deep tissue massages or other therapies.
How Botox Injections Work
At Smile in Style, we use Botox to help you look and feel your best. This remarkable treatment works by relaxing specific muscles in your face, smoothing out wrinkles and even easing pain from dental issues like teeth grinding. When we inject Botox, it blocks signals from nerves to these muscles, giving you a more relaxed and youthful appearance. You'll start seeing results within two weeks, and the effects typically last for several months, letting you enjoy a refreshed look and improved comfort.
How Filler Injections Work
Our filler treatments at Smile in Style offer a fantastic way to enhance your facial features and restore a youthful fullness. When we inject these gel-like substances beneath your skin, they immediately add volume, smoothing out lines and plumping areas that have lost their youthful bounce. Most of our fillers are made from hyaluronic acid, a substance naturally found in your body, making them safe and effective. The results are instant and can last anywhere from six months to over a year, giving you a natural, rejuvenated look that complements your beautiful smile.
Did you know…
Dental bridges can be used to replace up to 3 consecutive missing teeth.
READY TO BOOK YOUR EXPERIENCE?
Your Care, Your Terms
You deserve affordable, accessible care. That’s why we provide a variety of flexible financing options to meet your unique needs. Ready to work out a budgeting plan? Reach out to our team to get the conversation started.
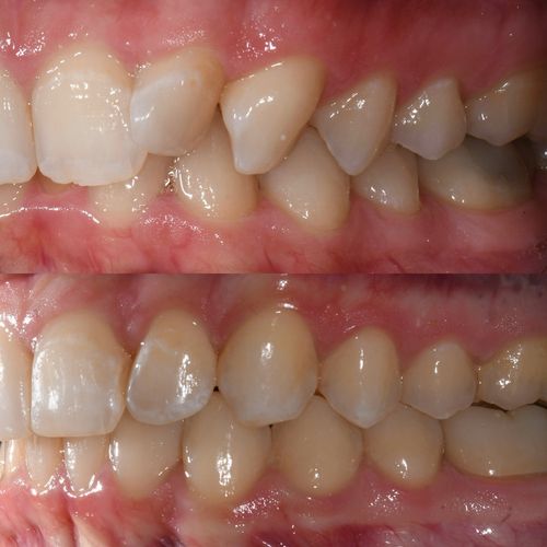
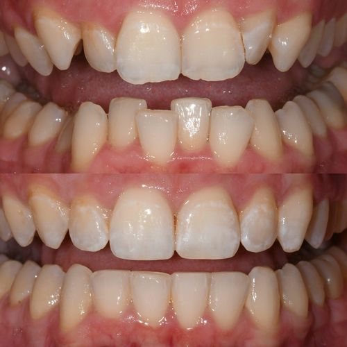
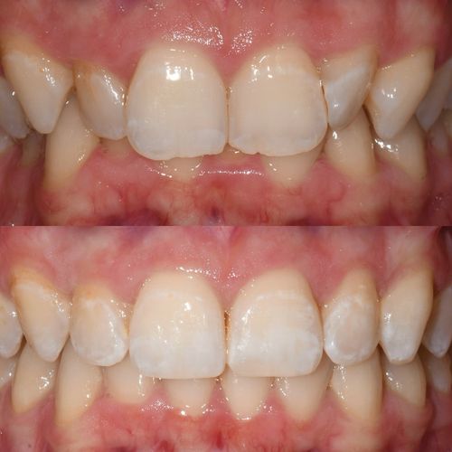
The Benefits of Dental Bridges
The Dental Bridge Treatment Process
Frequently Asked Questions


.png)
.webp)
.webp)






















-p-500.jpg)








-p-500.jpg)
-p-500.jpg)






.webp)
